Năm 2016, Bảo tàng Thiên nhiên Việt Nam, thuộc viện Hàn lâm Khoa học và Công nghệ Việt Nam, tiếp nhận xác cá thể Rùa Hồ Hoàn Kiếm để chế tác thành mẫu trưng bày theo đề nghị của Sở Khoa học và Công nghệ thành phố Hà Nội. Song song với việc chế tác mẫu vật trưng bày, các nhà khoa học của Bảo tàng Thiên nhiên Việt Nam cũng tiến hành xác định lại tên khoa học bằng kỹ thuật sinh học phân tích DNA. Dựa trên kết quả phân tích trình tự 4 vùng gen CO1 (652bp), COII (621bp), Cytb (993bp) và ND4 (731bp) và so sánh với các vùng gen tương ứng của các loài trong cùng giống cho thấy mẫu Rùa Hồ Hoàn Kiếm là loài Rafetus swinhoei. Kết quả này cũng phù hợp với nghiên cứu trước đây của Nguyễn Văn Sáng và cộng sự, 2005; Reid et al., 2011; và Minh Le et al, 2014.

Hình 1. Rùa Hồ Hoàn Kiếm khi còn sống (nguồn PGS.TS. Hà Đình Đức)

Hình 2. Mối quan hệ giữa mẫu Rùa Hồ Hoàn Kiếm (Rua_20.1) với các loài cùng giống trên cơ sở phân tích tổng hợp 4 vùng gen nghiên cứu

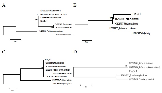
Hình 3. Mối quan hệ giữa mẫu Rùa Hồ Hoàn Kiếm (Rua_20.1) với các loài cùng giống trên cơ sở phân tích riêng biệt 4 vùng gen CO1 (A), COII (B), Cytb (C), ND4 (D)
Tin bài: TS. Trần Thị Việt Thanh
Bảo tàng Thiên nhiên Việt Nam, VAST
Bài được đăng trên Tạp chí sinh học 2017, 39 (3): 376-381
DOI: 10.15625/0866-7160/v39n3.10790
